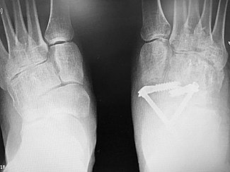
The surgery may involve the removal of the damaged joint and the permanent stiffening of the bones via plates fixed by screws to facilitate bone fusion as healing occurs. Talonavicular fusions a re done for two main reasons:
Stabilizing procedure fusing 3 joints;
Talonavicular joint fusion surgery. Talonavicular fusions a re done for two main reasons: The surgery may involve the removal of the damaged joint and the permanent stiffening of the bones via plates fixed by screws to facilitate bone fusion as healing occurs. One (2.44%) of these was a female
The aim of this study was to analyse the clinicoradiological outcome of talonavicular fusion using angle. Then into a walking cast or walking boot depending on xray. Three (7.32%) patients were not satisfied with the outcome of the surgery, and indicated that they would not repeat the foot surgery.
Talonavicular arthritis is when arthritis involves the talonavicular joint. Rationale for arthrodesis of the talonavicular joint includes peritalar subluxation, such as the adult acquired flatfoot, congenital deformities, neuromuscular diseases, and arthritic conditions, whether from an inflammatory arthritis,. This is called “adjacent segment disease” (asd).
What is a talonavicular fusion? The hindfoot consists of four bones and three joints. Fishco the talonavicular joint arthrodesis is utilized for various pathologies of the foot.
It fuses together two bones, the. The talus and navicular bones are then bolted together typically with screws and hardware (2). I am no longer on pain meds including anti inflamitories i still have inflammation but i expect by one year that will no longer b an issue.
In nine patients in our cohort we encountered rupture of the tibialis posterior muscle tendon. Talonavicular fusion allows reproducible pain reduction in isolated arthritis with subjective patient satisfaction of between 86% and 100% in a literature review. That means that joints like the main ankle joint (tibiotalar) and the talonavicular will get arthritis more quickly due to the fusion.
This surgery may affect growth of the foot and therefore,. I have no pain at all in joint and started back at work this week but i recognise the foot is not now as flexible or stable as other but who cares when pain free after years of suffering. Stabilizing procedure fusing 3 joints;
Disease of cartilage leads to roughened surfaces which causes friction and increased wear and tear in the joint. This is an operation to “fuse” or stiffen a joint in the middle part of the foot. The talonavicular, talocalcaneal, and calcaneocuboid joints.
If you later develop problems with any of the other structures in your foot or ankle in the future they may require further surgery. Flatfoot with talonavicular arthritis before and after talonavicular fusion with the subtalar implant. I am 72 years old but i have good bones.
Am just in the rehab stage of my second fusion on the opposite foot and at present i have discomfort and swelling following 7 weeks in a non weight bearing cast and 4 weeks in a knee to toe boot. Pain is produced by the bones grinding against each other and fusion stops this pain. Symptomatic talonavicular arthritis can be adequately addressed by isolated talonavicular fusion.
After the fusion there is less movement of the foot. Two foot bones (talus and navicular or talus and calcaneous) are fused together and screws or staples are inserted to maintain the position. This in turn can cause inflammation, pain, and joint deformity.
The outcome should be less pain and greater joint stability. I was off my pain pills after 2 weeks. Depending on the patient’s condition, lesser fusions may allow better functional outcomes by preserving more post op rom return.
Because of that my surgeon used only two small staples to hold my two bones in place. Arthritis of the joints, because of a previous injury that has damaged the joints, a generalised condition such as osteoarthritis or rheumatoid arthritis, or because the joint is just wearing out for some other reason My cast was changed at 2 weeks & will b changed at 5 weeks.
A talonavicular fusion is a surgical procedure where the talus bone and the navicular bone are fused together. Purpose the talonavicular joint is a central connection of the human foot. On april 28 i am at 4 weeks in a cast.
First talonavicular fusion was done fours years ago and apart from stiffness in my foot and ankle i have no real pain. Jan 2021, 10:24 edited 8. Fuse the talonavicular joint why does fusing the joint work?
The technique of fusion involves the removal of cartilage and firm fixing together by. The substantial reduction of movement in the triple joint complex leads to overload of the adjacent joints with development of arthritis in about 30% in the medium term. After the foot is cut open, a portion of the joint and cartilage is amputated and removed.
Why would it be done? Early fusion of the talonavicular joint appears to prevent further progression of foot deformities. This decreases the biomechanical stability of the talonavicular joint while increasing the shear load of the joint and destabilizing the chopart�s joint.
Fusion of this joint does limit the foot turning down and in and up and out, which may preclude activities on an uneven surface. This is the fusion and realigment of two to four joints around the hindfoot and midfoot. In fact, in many patients, over time, even without running, asd will still happen (2).
For me the talonavicular surgery has been a definite improvement. The talus, calcaneus, cuboid, and navicular bones are separated by cartilage and create the talocalcaneal, talonavicular, and calcaneocuboid joints. My talo navicular fusion was march 30.
Fusion is the gold standard procedure to treat severe pain and deformity associated with advanced arthritis in the foot and ankle. Talonavicular fusions are done for two main reasons: A talonavicular fusion fuses the talus and the navicular bones.
Surgery to fuse the talonavicular joint will address only one of these joints. What does fusing the talonavicular joint mean for foot movement? By fusion of a major joint in the middle of the foot, called the talonavicular joint.
Overall satisfaction with the results of the tn fusion surgery, 87.81% (36/41)ofthepatientsstatedthattheyweresatisfiedwiththesurgery and would undergo the procedure again.